This story has nothing to do with flying, other than the trouble with keeping your Class I Medical. When I was in Air Force pilot training, we lost two guys on day one to the medical. One of them checked "yes" to the question, "do you sleep walk?" After they showed him the door he explained that he often overslept during college and the alarm clock across the room was shut off so he must have walked in his sleep. We decided he was too stupid to be a pilot. Over the years I've wondered how many of the doctors I've seen are too stupid to examine pilots. This is a story of two such idiots.
— James Albright
Updated:
2014-04-07
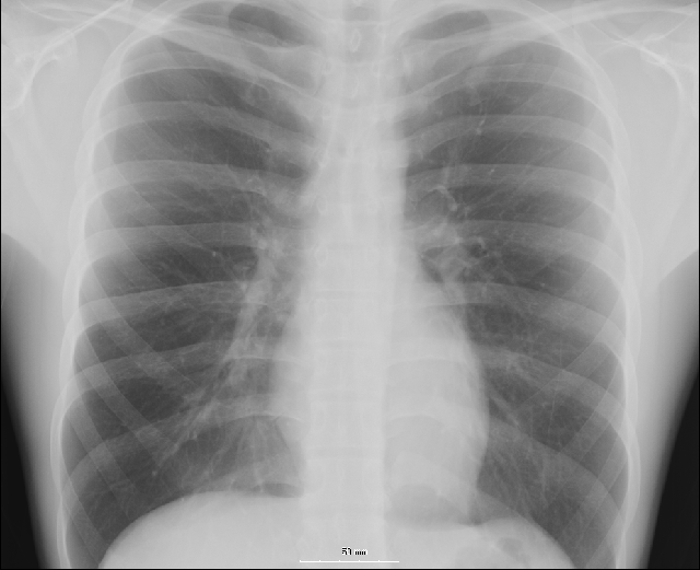
"First we cut through these two ribs," the doctor said while making a slashing motion with his hand against my side, "and then we'll slice out a wedge of your lung. Then, and only then, will we be able to find out what that spot really is."
It was a ridiculous thought for a ridiculous situation. The scene with the doctor was in 2006. The cause of the situation was in 2004. My reaction, which saved my lungs, was rooted in 1990. That's where we begin.
1990
Our Boeing 747 squadron had sixteen pilots. At any given time, two were in training with the airlines, four were doing Air Force non-flying duties, two were on vacation, two were on the operational bird, and four were flying trips. That meant we had two left over. There wasn't much room for error. So anytime a pilot was medically grounded, it was bad news.
Of course I was one of those for a year with cancer. Since then, I just needed to drop into the hospital for a monthly CAT scan, an X-ray, and some blood work. I spent so much time in the hospital that I lost my white coat hypertension, I could now give blood in my sleep. In fact, I think I did a few times.
I was strolling down the halls of the hospital when I saw George Crawford walking the opposite direction with brown paper bag and a sad look on his face. George was our newest copilot and was usually the easiest source of a sly grin or a quick one-liner. "What's up, George?"
"I'm grounded," he said, "doc says my blood cells are too big."
"What?" As a rule, most Air Force pilots try to avoid medicine and all things medical, but by virtue of the types of flying we did back then, most of us had a lot of experience with physiology. "That sounds like a load of crap," I said, "did he have a medical description?"
"No," George said with a hint of embarrassment, "he just said my blood cells are too big and he prescribed a shitload of drugs." He pulled out a handful from the paper sack. "Look at these, they look like horse pills. With any luck, doc says I will be okay in a few months."
Months! I gave him a pat on the back and continued on my way to see my doctor, Captain Garfield. He was the flight surgeon assigned to our squadron and flew with us at least once a month. He was one of the good ones.
"Did you hear about George?" I asked once he finished signing off on my latest CAT scan, "he's grounded for months. They told him his blood cells are too big."
"That's a load of crap," Garfield said.
"That's exactly what I told him," I said, "George is wandering the halls right now filling a sack with pills."
"You tell George to come see me," Garfield said, "no appointment, just have him see me ASAP."
I saw George back at the squadron and he immediately left for the hospital. That afternoon George was wearing his normal toothy grin. "Doc Garfield ungrounded me! He took my bag of pills and threw them away!"
Garfield told George that Doctor Rapta got into the Air Force because he had a medical diploma but was unemployable as a civilian because he was an idiot. He got his degree in Oklahoma on the condition he never practice in that state. Garfield said if you ever walk into a doctor's office and see a medical diploma from Oklahoma, to turn around and leave.
Of course I've never trusted doctors - except Garfield - ever since I was given the death sentence at Wilford Hall back in 1988. But we can't get back to 2006 and the spot in my lung just yet. Because in 2004, I was walking on a street in Chicago in the middle of a snow storm . . .
2004
It was my second job as a civilian and so far it was pretty good. I was the third pilot in a three pilot flight department, but I had the deepest resume of flight experience and they treated me accordingly. I was still learning the ropes and didn't object when the boss said we didn't need a rental car in Chicago Midway, even though we had a few days off. He wasn't feeling well and just wanted to spend the time in bed. "It's just a cold," he kept saying between coughs, clutching a box of tissues.
"You look like hell," I said at dinner, "if this was the Air Force they would put you on quarters and ground you for a month."
"That's why I wasn't in the Air Force," he said, "they coddled you prima donnas." He was a Naval flight officer in a former life.
The next morning he called my hotel room. "James, you gotta go to the drug store for me. I need some Nyquil. It's just down the street, turn left and go a few blocks. You can't miss it."
I did miss it. I walked in blinding snow for an hour. I should have taken a cab. During our flight home we both looked like hell. I felt like hell for two months. "See the doctor," the lovely Mrs. kept saying, "some antibiotics will knock this out in no time."
"I'm okay," I insisted, "just a cold."
Back to where we started, in 2006.
2006
"First we cut through these two ribs," the doctor said while making a slashing motion with his hand against my side, "and then we'll slice out a wedge of your lung. Then, and only then, will we be able to find out what that spot really is."
"You know I'm a pilot," I said to the doctor, "I need that lung."
"Oh you'll be fine," he insisted, "we just remove a half an inch wedge, you'll be able to fly again in just a month."
"Unless the wedge doesn't heal well, or there is an infection, or . . ."
"Well," he interrupted, "this is the only course of action I can recommend to investigate the spot in your lung."
"We have three months of X-rays here," I said, "and the spot seems to be the same size in each. If it is cancer, shouldn't it be getting larger?"
"So?"
"If we come back in six months and the spot is the same size," I said, "can't we rule that out?"
"Well I suppose that is another option," the doctor admitted, "if you insist, we can do that."
That's what we did. Six months later the spot was still there, the same size. "It looks like scar tissue," he said, "it wasn't there two years ago so I would have to say you must have had a pneumonia or other pulmonary issue between then and now."
"Pneumonia?"
"Yeah," he said, "pneumonia can really do some damage to your lungs. Of course there is hardly any reason for getting pneumonia these days, with the quality of antibiotics available."
Another lesson relearned. A man's got to know his limitations, sometimes taking the pills are the right thing to do.

